Revision Hip Replacement Surgery in Surat
— Expert Complex Hip Revision by Dr. Krunal Donda
German fellowship-trained revision hip replacement specialist in Surat. Advanced surgical expertise in failed implants, infection management, bone grafting, and complex hip revision surgery at Shivaan Hospital.
What is Revision Hip Replacement Surgery?
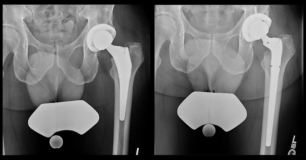
Revision hip replacement surgery is a complex orthopedic procedure performed to replace or repair a previously implanted hip prosthesis that has failed, loosened, become infected, or is causing complications. At Shivaan Hospital Surat, Dr. Krunal Donda specializes in revision hip surgery for patients whose primary hip replacement has developed problems requiring expert intervention.
Unlike primary hip replacement, revision hip replacement in Surat often involves significant challenges including bone loss, scar tissue, and altered anatomy. These procedures typically require longer operative time, use of specialized implants, and often involve bone grafting to restore lost bone stock. As one of the best doctors for revision hip replacement in Surat, Dr. Krunal Donda brings German fellowship training and extensive experience in managing complex revision cases with comprehensive pre-operative planning and multidisciplinary care at Shivaan Hospital.
Understanding Hip Implant Components in Revision Surgery
A total hip replacement consists of several components that may fail over time. In revision hip replacement surgery in Surat, Dr. Krunal Donda evaluates which components require replacement: the acetabular cup (socket), femoral stem, femoral head (ball), and polyethylene liner.
Understanding component failure is crucial for successful revision hip surgery. Some revisions involve only the acetabular side, others only the femoral side, while complex cases require complete revision of all components with extensive bone reconstruction. Dr. Donda's expertise in complex hip revision surgery ensures optimal component selection and surgical technique for each patient at Shivaan Hospital.
Why Do Hip Replacements Fail?
Hip replacements can fail for various reasons, each requiring different revision hip surgery approaches. At Shivaan Hospital Surat, Dr. Krunal Donda's expertise in diagnosing failure mechanisms is essential for planning appropriate revision hip replacement treatment and preventing recurrence.
Aseptic loosening is the most common cause requiring revision hip replacement in Surat, occurring when the implant loses its fixation to bone due to wear debris, stress shielding, or inadequate initial fixation. Other causes include prosthetic joint infection, instability with recurrent dislocation, implant wear with osteolysis, periprosthetic fracture, and component breakage — all conditions that Dr. Donda successfully treats with advanced revision hip replacement surgery techniques.
Common Reasons for Revision Hip Surgery in Surat
Several factors can necessitate revision hip replacement at Shivaan Hospital, each presenting unique surgical challenges that require the specialized expertise of Dr. Krunal Donda, a leading revision hip replacement surgeon in Surat.
-
✓
Aseptic loosening: The most common reason for revision hip surgery — implant separation from bone due to wear particles, poor initial fixation, or progressive bone loss requiring expert management.
-
✓
Prosthetic joint infection: Bacterial contamination requiring specialized revision hip replacement surgery with implant removal, antibiotics, and staged reconstruction.
-
✓
Recurrent dislocation: Hip instability causing repeated dislocations despite conservative management, requiring revision hip surgery in Surat to restore stability.
-
✓
Implant wear and osteolysis: Polyethylene liner wear causing progressive bone destruction around the implant, necessitating timely revision hip replacement.
-
✓
Periprosthetic fracture: Bone fracture around or near the hip implant from trauma or stress, requiring complex revision hip surgery with fracture management.
Symptoms Indicating Need for Revision Hip Replacement
Recognizing signs of hip implant failure early and consulting a revision hip replacement specialist in Surat allows for timely intervention and better outcomes. Dr. Krunal Donda at Shivaan Hospital recommends immediate evaluation if you experience any significant change in hip function after initial recovery.
- ✓Progressive hip pain:New or worsening pain in the groin, thigh, or buttock region — often the first indicator requiring revision hip replacement evaluation.
- ✓Instability or giving way:Sensation of the hip slipping out or actual dislocation episodes requiring expert revision hip surgery.
- ✓Decreased mobility:Worsening stiffness, reduced range of motion, or increasing difficulty walking despite previous good function.
- ✓Clicking or grinding:Abnormal sounds or sensations during hip movement indicating component wear or loosening.
- ✓Signs of infection:Persistent warmth, swelling, drainage, fever, or wound problems requiring urgent revision hip surgery consultation at Shivaan Hospital.
Comprehensive Diagnostic Evaluation for Revision Hip Surgery
Comprehensive evaluation is crucial before revision hip replacement surgery at Shivaan Hospital Surat. Dr. Krunal Donda performs detailed clinical examination and advanced imaging including MRI, CT & X-Ray to determine the cause of failure, extent of bone loss, and optimal revision hip surgery strategy.
- ✓X-rays:Serial radiographs to assess implant position, loosening patterns, and bone loss — essential for revision hip replacement planning.
- ✓CT scan:Detailed three-dimensional bone structure assessment and precise pre-operative planning for complex revision hip surgery.
- ✓Infection workup:Comprehensive blood tests (ESR, CRP), hip joint aspiration, and bacterial cultures to rule out or confirm infection before revision hip replacement.
- ✓Nuclear medicine scans:Advanced bone scans or labeled white cell scans when infection is suspected but not confirmed through standard testing.
Advanced Revision Hip Replacement Surgical Approaches at Shivaan Hospital
Revision hip surgery techniques employed by Dr. Krunal Donda vary based on the reason for failure, extent of bone loss, and patient factors. As a German fellowship-trained revision hip replacement surgeon in Surat, Dr. Donda offers approaches ranging from simple component exchange to complex reconstruction requiring advanced bone grafting and custom implants, including minimally invasive muscle-sparing hip surgery when appropriate.
Aseptic Revision Strategies
-
✓
Isolated component revision hip replacement for single-component failure with adequate bone stock preservation.
-
✓
Complete revision hip surgery with removal of all components and new implant insertion using advanced techniques.
-
✓
Advanced bone grafting using morselized or structural grafts for bone deficiency restoration in complex hip revision.
-
✓
Specialized implants including long stems, trabecular metal augments, or custom components for challenging revision hip replacement cases.
Septic Revision (Infection Management)
-
✓
Two-stage exchange protocol for infected revision hip replacement: implant removal, antibiotic spacer, then delayed reimplantation.
-
✓
Single-stage exchange revision hip surgery in carefully selected cases with known organism and good tissue quality.
-
✓
Debridement, antibiotics, and implant retention (DAIR) protocol for early acute infections following hip replacement.
-
✓
Permanent antibiotic suppression or resection arthroplasty for complex salvage situations requiring expert management.
Expert Bone Loss Management in Revision Hip Surgery
Bone deficiency management is a major challenge in revision hip replacement surgery at Shivaan Hospital. Dr. Krunal Donda uses Paprosky classification and other systems to determine the optimal reconstruction strategy for each patient requiring complex revision hip surgery in Surat.
Treatment options include morselized bone grafting for contained defects where impacted bone chips provide structural support, structural allografts for segmental deficiencies, trabecular metal augments and cones for large acetabular defects, and custom triflange cups for severe pelvic discontinuity. Dr. Donda's expertise in bone reconstruction for revision hip replacement ensures optimal outcomes even in the most challenging cases.
- ✓Impaction bone grafting:Morselized bone graft impacted to restore bone stock and provide stable implant support in revision hip replacement surgery.
- ✓Structural allografts:Large bone segments used to bridge major defects or restore normal anatomy in complex hip revision cases.
- ✓Metal augments:Porous tantalum or titanium components filling bone voids and providing stable fixation for revision hip surgery.
- ✓Custom 3D-printed implants:Patient-specific custom components for complex anatomy or massive bone loss requiring advanced revision hip replacement solutions.
Recovery and Rehabilitation After Revision Hip Surgery at Shivaan Hospital
Revision hip replacement recovery at Shivaan Hospital Surat typically takes longer than primary replacement due to surgical complexity, bone grafting requirements, and need for protected healing. Dr. Krunal Donda provides individualized rehabilitation protocols based on bone quality, implant stability, and surgical approach used during revision hip surgery.
- 1Phase 1 (0–6 weeks):Protected weight-bearing with walking aids, gentle range of motion exercises, wound care and regular monitoring after revision hip replacement surgery.
- 2Phase 2 (6–12 weeks):Progressive weight-bearing as tolerated, advancement of strengthening exercises, and implant integration assessment following revision hip surgery.
- 3Phase 3 (3–6 months):Advanced strengthening program, functional activity training, and gradual return to most daily activities after revision hip replacement.
- 4Phase 4 (6–12 months):Continued improvement in strength and function, return to desired activity level with appropriate precautions under Dr. Donda's guidance.
Excellent Outcomes with Revision Hip Replacement in Surat
While revision hip replacement surgery is more complex than primary surgery, modern techniques and implants used by Dr. Krunal Donda at Shivaan Hospital Surat provide excellent outcomes for most patients. Success rates for revision hip surgery depend on the reason for revision, extent of bone loss, patient health, and compliance with rehabilitation protocols.
Most patients undergoing revision hip replacement with Dr. Krunal Donda achieve significant pain relief and functional improvement, though outcomes may differ from primary replacement. Potential complications are minimized through expert surgical technique and include infection (2-5%), dislocation (slightly higher than primary), nerve injury, blood loss requiring transfusion, and the rare need for further revision. Regular follow-up at Shivaan Hospital with radiographs monitors implant stability and bone integration to ensure long-term success of your revision hip replacement in Surat.
Maximizing Implant Longevity After Revision Hip Replacement
While not all revisions are preventable, certain measures recommended by Dr. Krunal Donda can maximize implant longevity and reduce failure risk after revision hip replacement surgery at Shivaan Hospital Surat. Understanding these factors helps patients make informed decisions and maintain optimal hip health long-term.
- ✓Maintain healthy weight:Weight management reduces joint stress and wear, extending the lifespan of your revision hip replacement.
- ✓Stay appropriately active:Regular low-impact exercise maintains muscle strength without excessive implant stress after revision hip surgery.
- ✓Infection prevention:Antibiotic prophylaxis for dental procedures and prompt treatment of any infections protects your revision hip replacement.
- ✓Regular monitoring at Shivaan Hospital:Scheduled follow-up visits with Dr. Krunal Donda and periodic X-rays detect problems early before extensive bone loss occurs.
- ✓Report symptoms promptly:Early evaluation of new pain, instability, or functional changes enables timely intervention to protect your revision hip replacement.
Frequently Asked Questions — Revision Hip Replacement in Surat
How long does revision hip replacement surgery take at Shivaan Hospital?
Revision hip replacement surgery with Dr. Krunal Donda typically takes 3-5 hours, significantly longer than primary replacement. Complex revision hip surgery cases involving extensive bone grafting, removal of well-fixed implants, or infection management may require additional time. The duration depends on the specific reason for revision, extent of bone loss, and technical challenges encountered during the procedure at Shivaan Hospital Surat.
What is the success rate of revision hip replacement with Dr. Krunal Donda?
Success rates for revision hip replacement surgery at Shivaan Hospital Surat range from 80-95% at 10 years, depending on the reason for revision and surgical complexity. Revision hip surgery for aseptic loosening with good bone stock has the best outcomes, while revisions for infection or severe bone loss have favorable but slightly lower success rates. Dr. Krunal Donda's German fellowship training and expertise in complex hip revision contribute to excellent patient outcomes using modern techniques and advanced implants.
How long is the hospital stay after revision hip surgery at Shivaan Hospital?
Hospital stay after revision hip replacement at Shivaan Hospital typically ranges from 4-7 days, longer than primary replacement. The length of stay depends on surgical complexity, whether bone grafting was performed, patient's overall health, pain control effectiveness, and ability to safely mobilize with physiotherapy. Some patients may benefit from brief rehabilitation facility stay before returning home, which Dr. Krunal Donda will discuss based on individual recovery progress.
Can a hip replacement be revised multiple times?
Yes, hip replacements can undergo multiple revision hip surgeries, though each subsequent revision becomes more technically challenging due to progressive bone loss and scar tissue formation. The feasibility of repeat revision hip replacement depends on remaining bone stock, overall health status, infection control, and available reconstruction options. As a leading revision hip replacement surgeon in Surat, Dr. Krunal Donda has expertise in complex re-revision cases. Some patients may ultimately require salvage procedures like arthrodesis or permanent antibiotic suppression, which will be thoroughly discussed at Shivaan Hospital.
Consult Dr. Krunal Donda — Leading Revision Hip Replacement Specialist in Surat
Contact on WhatsApp — +91 98790 99184Choose Shivaan Hospital Surat for Expert Revision Hip Replacement Surgery — When your primary hip replacement has failed or developed complications, choosing the right revision hip replacement surgeon is crucial for successful outcomes. Dr. Krunal Donda, with his German fellowship training and extensive experience in complex hip revision surgery, offers world-class expertise right here in Surat. At Shivaan Hospital, we provide comprehensive care from accurate diagnosis through advanced surgical techniques to complete rehabilitation, ensuring the best possible results for your revision hip replacement. Whether you're dealing with implant loosening, infection, recurrent dislocation, or bone loss, Dr. Donda's specialized skills in revision hip surgery and commitment to patient-centered care make Shivaan Hospital the premier destination for revision hip replacement in Surat. Contact us today to schedule a consultation and take the first step toward regaining your mobility, comfort, and quality of life.